
Hàm hô là gì ?
Răng hô hay còn được gọi với những tên khác là răng vẩu, răng vổ, cắn hô vẩu, khớp cắn hạng 2. Hô là tình trạng bệnh lý về hàm mặt thường gặp ở khá nhiều người.
Đây là một trong những dạng sai lệch khớp cắn mà trong đó tương quan hai hàm răng trên dưới không đạt chuẩn tỷ lệ, hàm trên đưa ra quá mức so với hàm dưới.
Người bị mắc hàm hô thường có xu hướng môi không khép kín được miệng, răng lộ ra bên ngoài hoặc nghiêng về phía trước.khiến cho gương mặt trông mất cân đối, kém duyên. Đặc biệt, khuyết điểm này còn gây khó khăn cho chức năng nhai cắn thức ăn, gián tiếp tác động xấu đến hệ tiêu hóa và nghiêm trọng là về lâu dài có thể ảnh hưởng đến khớp thái dương hàm.
Nguyên nhân dẫn đến hô vẩu thường là yếu tố di truyền (chiếm đến 70%), còn lại là do những thói quen xấu khi còn nhỏ, như thường xuyên mút tay, tật đưa lưỡi ra đằng trước, tật cắn môi dưới hay chống cằm thường xuyên,…
Mặc dù hô không nguy hiểm tới sức khỏe nhưng lại làm ảnh hưởng rất lớn đến thẩm mỹ gương mặt và làm người mắc phải mất đi sự tự tin khi nở nụ cười hay khi giao tiếp với người khác.

Nguyên nhân gây ra hàm hô
- Loại 1: Hô do răng
- Loại 2: Hô do hàm
- Loại 3: Hô do răng lẫn hàm
Khi nghĩ đến các biện pháp khắc phục tình trạng hô, người ta thường nghĩ đến phương pháp niềng răng, tuy nhiên niềng răng chỉ có tác dụng với trường hợp hô do răng (loại 1 và 3), riêng với trường hợp hô do hàm thì niềng răng không hoặc rất khó có thể giải quyết được.
Vì thế hô do hàm (loại 2 và 3) không thể giải quyết bằng phương pháp niềng răng đơn thuần mà phải nhờ đến kỹ thuật phẫu thuật hàm hô. Do đó cần phân tích đúng nguyên nhân hô từ đó mới ứng dụng phương pháp khắc phục phù hợp để có thành quả thẩm mỹ cao và an toàn.

Trường hợp hô do hàm lẫn răng, bác sĩ sẽ tiến hành can thiệp phẫu thuật hàm hô kết hợp với chỉnh nha để có được kết quả như ý.
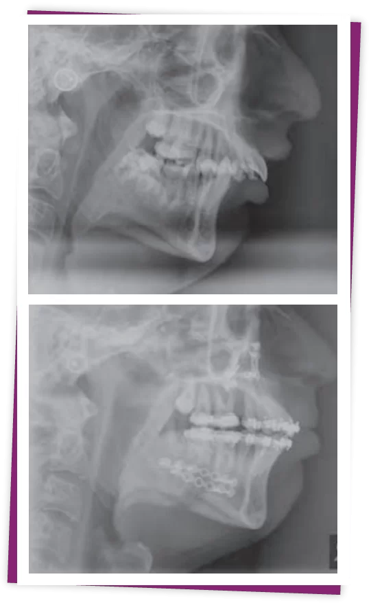
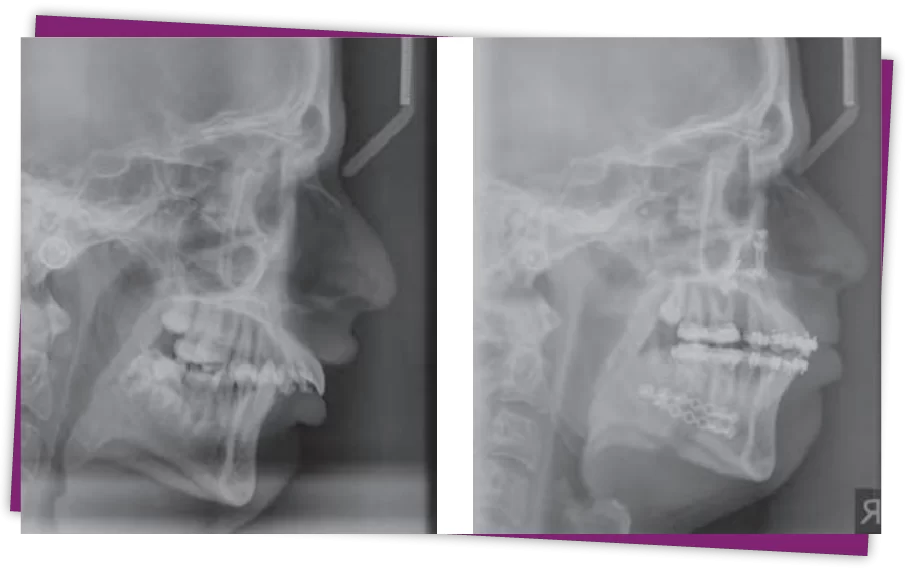
Để xác định một cách chính xác nhất tình trạng hô của bạn là do đâu thì nên đến trực tiếp nha khoa để các bác sĩ đo đạc, chụp phim CT 3D toàn hàm cũng như các thao tác chuyên sâu khác để từ đó mới biết tỷ lệ hô như thế nào. Từ những thông số đó, bác sĩ mới đưa ra quyết định nên điều trị răng hô bằng cách niềng răng, bọc răng sứ hay phải phẫu thuật chỉnh nha.
Tại Kubet thẩm mỹ & - Ku Casino, bạn sẽ được bác sĩ chụp phim CT 3D tại chỗ để cho kết quả khảo sát cấu trúc xương răng nhanh chóng nhất. Dựa trên những số liệu cụ thể này, đội ngũ bác sĩ tay nghề cao, nhiều năm kinh nghiệm trong nghề, kiến thức chuyên môn sâu về răng – hàm – mặt của chúng tôi sẽ phân tích để đưa ra giải pháp phù hợp nhất cho các bạn.

Ưu điểm của phẫu thuật hàm hô
- Giải quyết nhanh tình trạng hô do hàm chỉ sau một lần phẫu thuật hàm hô
- Giúp gương mặt cân đối, hỗ trợ chức năng ăn nhai dễ dàng
- Mang lại vẻ đẹp và sự tự tin cho khách hàng
- Tính an toàn cao, không gây ảnh hưởng đến những bộ phận khác
- Kết quả được duy trì vĩnh viễn.

Quy trình thực hiện phẫu thuật hàm hô
Bước 1: Thăm khám và tư vấn. Bác sĩ sẽ thực hiện kiểm tra các khớp cắn, kiểm tra hàm mặt cơ bản để xem xét, đánh giá mức độ hô, lấy dấu nghiên cứu, chụp ảnh các tư thế để lưu hồ sơ bệnh nhân, vệ sinh tổng quát răng miệng.
Bước 2: Tiến hành chụp CT scan từ đó xác định nguyên nhân, đánh giá và đề ra các phương pháp điều trị phù hợp nhất cho khách hàng
Bước 3: Bác sĩ nha khoa và bác sĩ phẫu thuật hàm sẽ tiến hành hội chẩn để tìm ra phương pháp tối ưu nhất, tiến hành làm máng hướng dẫn phẫu thuật để hỗ trợ cho quá trình phẫu thuật sau đó được thuận lợi nhất.
Bước 4: Xét nghiệm tổng quát sức khỏe, đánh giá và tiên lượng kết quả phẫu thuật.
Bước 5: Thực hiện phẫu thuật hàm hô. Sau khi gây mê, bác sĩ sẽ thực hiện phẫu thuật dựa vào kế hoạch cụ thể đã thống nhất trước đó.
Bước 6: Nghỉ ngơi tại Kubet 1 đêm
Bước 7: Tái khám, cắt chỉ đúng yêu cầu của bác sĩ.

Phẫu thuật hàm hô giá bao nhiêu?
Tùy vào độ phức tạp của ca phẫu thuật, trung bình chi phí của 1 ca phẫu thuật dao động trong khoảng 70 – 100 triệu. Phẫu thuật hàm hô là phương pháp tối ưu nhất khắc phục tình trạng hô hàm. Bạn sẽ sở hữu một khuôn mặt cân đối, xinh xắn hơn, ăn nhai tốt hơn sau khi phẫu thuật, giúp bạn tự tin và nâng cao chất lượng cuộc sống.

Phẫu thuật hàm hô có nguy hiểm không? Kinh nghiệm khi phẫu thuật hàm
Phẫu thuật hàm hô có nguy hiểm không? Phẫu thuật hàm hô có đau không? Phẫu thuật hàm hô có biến chứng gì không?…Đây đều là những câu hỏi được đặt ra xoay quanh vấn đề phẫu thuật chỉnh hàm hô, nếu bạn cũng quan tâm đến chủ đề này, đừng bỏ qua bài viết dưới đây, Kubet Worldwide sẽ giúp bạn hiểu rõ hơn về kỹ thuật phẫu thuật hàm hô.
Phẫu thuật hàm hô có nguy hiểm không?
Phẫu thuật hàm hô có nguy hiểm không, khi đây là kỹ thuật can thiệp trực tiếp đến xương hàm?

Thực tế phẫu thuật hàm hô có nguy hiểm không phụ thuộc phần lớn vào: Hệ thống thiết bị, công nghệ phẫu thuật và tay nghề của bác sĩ.
Trong đó, máy cắt xương hàm đóng vai trò tạo ra đường cắt tinh tế, đảm bảo thời gian thực hiện nhanh chóng, tuy vậy, công nghệ không phải là yếu tố quyết định đến tỷ lệ thành công của ca phẫu thuật, 90% sự thành công của một ca phẫu thuật điều chỉnh hàm hô phụ thuộc vào tay nghề, kinh nghiệm chuyên môn của bác sĩ.
Với hệ thống công nghệ hiện đại, đội ngũ bác sĩ tay nghề giỏi, Kubet Worldwide chính là địa chỉ mà bạn có thể yên tâm thực hiện phẫu thuật chỉnh hàm hô.
Phẫu thuật hàm hô có đau không?
Với mong muốn thay đổi diện mạo, nhiều người đã tìm hiểu về phương pháp phẫu thuật hàm hô, tuy nhiên nỗi lo lắng chung của nhiều người thì quyết định thực hiện phẫu thuật chính là vấn đề đau đớn.
Mặc dù phẫu thuật chỉnh hàm hô can thiệp trực tiếp đến cấu trúc xương nhưng ca phẫu thuật này không gây đau đớn như nhiều người vẫn nghĩ, cảm giác đau nhức trong khi phẫu thuật được hạn chế tối đa nhờ kỹ thuật tiền gây mê.
Kinh nghiệm cần biết khi phẫu thuật hàm hô
Để phẫu thuật hàm hô đạt hiệu quả cao, không để lại những di chứng xấu, người bệnh cần nắm một số kinh nghiệm khi phẫu thuật hàm hô như sau:
- Chườm đá trong những ngày đầu sau phẫu thuật để giảm sưng, đau.
- Không tác động mạnh lên vùng vừa phẫu thuật.
- Trong 3 ngày đầu sau phẫu thuật, sử dụng cháo loãng.
- Trong 1 tháng đầu sau phẫu thuật, ưu tiên sử dụng thức ăn mềm.
- Không sử dụng các chất kích thích hay rượu bia trong 1 tuần sau phẫu thuật.
Một số lưu ý trong phẫu thuật hàm hô
Phẫu thuật hàm hô cần được thực hiện tại địa chỉ uy tín để đảm bảo không gây ra biến chứng, cải thiện được tình trạng hô của khách hàng.

Một số lưu ý trong phẫu thuật hàm hô bao gồm:
- Cần xác định đúng nguyên nhân dẫn đến hàm hô để tìm ra giải pháp phù hợp.
- Ứng dụng kỹ thuật hiện đại trong quy trình phẫu thuật.
- Phẫu thuật cần được thực hiện bởi đội ngũ bác sĩ có chuyên môn cao.
- Có chế độ chăm sóc hậu phẫu đúng cách.
Phẫu thuật hàm hô có biến chứng không?
Phẫu thuật hàm có có biến chứng không là nỗi lo của khá nhiều khách hàng, thực chất đây là ca phẫu thuật tác động trực tiếp đến cấu trúc xương hàm của cơ thể, do đó nếu kỹ thuật phẫu thuật không đảm bảo, có thể để lại những biến chứng như:
- Khiến cơ mặt bị biến dạng.
- Môi, cằm bị mất cảm giác.
- Gây chảy máu kéo dài.
- Ảnh hưởng đến chức năng nhai.
- Tác động đến giọng nói.
- Khớp cắn sai lệch,…
Phẫu thuật hàm hô trả góp là gì?
Phẫu thuật hàm hô có chi phí trung bình từ 70 -100 triệu/ 1 lần phẫu thuật, tùy vào mức độ phức tạp của ca phẫu thuật, đây có thể là chi phí không nhỏ đối với nhiều khách hàng, do đó hiện nay Kubet Worldwide đang triển khai chương trình phẫu thuật hàm hô trả góp, nhằm hỗ trợ khách hàng thực hiện phẫu thuật trong thời gian sớm nhất.
Với chương trình phẫu thuật hàm hô trả góp, người bệnh chỉ cần trả trước 40% chi phí dịch vụ, phần còn lại sẽ được chia nhỏ để trả dần trong khoảng thời gian từ 3 – 12 tháng.
Phẫu thuật hàm hô trả góp là chương trình hết sức ý nghĩa, giúp các bệnh nhân chưa có đủ điều kiện tài chính có thể thực hiện phẫu thuật để lấy lại tự tin, giảm bớt gánh nặng tài chính cho khách hàng.
Lý do nên thực hiện phẫu thuật hàm hô tại Kubet Worldwide
Tại Kubet Worldwide, những khách hàng gặp vấn đề về hàm hô do cung xương có thể cải thiện tình trạng này thông qua phương pháp điều trị hàm hô chuyên nghiệp.

Để xác định chính xác tình trạng hàm hô, các bác sĩ sẽ tiến hành chụp phim CT 3D toàn hàm, kết hợp với các thao tác chuyên sâu để nắm rõ tỷ lệ hô, từ những thông số có được, bác sĩ sẽ đưa ra phương pháp điều chỉnh hàm hô phù hợp.
Trong trường hợp hàm hô do cung xương hàm trên, bạn sẽ được điều trị thông qua phương pháp phẫu thuật cắt bỏ, điều chỉnh xương hàm, kết quả điều chỉnh hàm hô tại Kubet Thẩm mỹ Worldwide sẽ mang đến cho bạn sự yên tâm và hài lòng nhờ vào những lý do sau:
- Quy trình khảo sát kỹ lưỡng, xác định cụ thể tỷ lệ hô thông qua máy CT Bone.
- Khách hàng được khám tổng quát sức khỏe, tiên lượng về kết quả phẫu thuật, nếu thông số này đảm bảo mới tiến hành phẫu thuật.
- Đội ngũ bác sĩ phẫu thuật chỉnh hàm hô có kinh nghiệm chuyên môn cao, đã thực hiện thành công cho hàng ngàn ca bệnh.
- Quy trình phẫu thuật được giám sát kỹ lưỡng, bên cạnh đó là sự hỗ trợ của hệ thống thiết bị phẫu thuật hiện đại, hạn chế tối đa các biến chứng có thể xảy ra.
- Phòng phẫu thuật đạt điều kiện vô trùng kép, hạn chế nhiễm trùng, lây nhiễm, an toàn với sức khỏe khách hàng.
Phương pháp điều trị răng hô không cần phẫu thuật:
Gợi ý hay – Nên tham khảo: