
Móm là gì?
Móm là một dạng sai lệch khớp cắn do khớp cắn bị ngược, vòm hàm dưới phủ ngoài vòm hàm trên. Hay khi khép miệng lại, hàm trên thường sẽ nằm ngoài hàm dưới còn khi bị móm thì hàm dưới sẽ nằm ngoài hàm trên.
Móm không chỉ gây mất thẩm mỹ, mất tự tin giao tiếp mà còn ảnh hưởng nghiêm trọng đến chức năng ăn nhai và phát âm của răng… Ngoài ra, tình trạng này nếu kéo dài còn gây ảnh hưởng tới sức khỏe toàn thân. Móm là bệnh lý khá phổ biến của người Việt Nam. Tuy nhiên để điều trị triệt để tình trạng này, việc xác định nguyên nhân gây móm là điều vô cùng quan trọng.
Cách phân biệt răng móm – hàm móm
Việc phân biệt răng móm hay hàm móm là điều rất quan trọng để định hướng phương pháp điều trị.
Khi chúng ta bị móm sẽ thấy tương quan hàm trên ở bên trong hàm dưới, trong khi răng hàm dưới phải ở trong so với hàm trên thì mới đạt chuẩn.
Đặc điểm này rất dễ nhận ra khi quan sát bằng mắt thường nhưng để xác định một cách chính xác tình trạng móm của bạn là do đâu thì nên đến trực tiếp nha khoa để các bác sĩ đo đạc, chụp phim CT scan toàn sọ mặt cũng như thực hiện một số phân tích khác để từ đó mới biết tỷ lệ móm như thế nào.
Từ những thông số đó, bác sĩ mới đưa ra quyết định nên điều trị móm bằng cách niềng răng, bọc răng sứ hay phải phẫu thuật chỉnh móm.

Phẫu thuật CHỈNH MÓM là gì?
Khuyết điểm hàm móm đa phần là do di truyền, hình thành bởi cấu trúc xương hàm phát triển quá mức, hàm dưới đưa về phía trước khiến khớp cắn không được đồng nhất gây nên tình trạng móm.
Phẫu thuật chỉnh móm hay còn gọi là phẫu thuật hàm móm được chỉ định cho trường hợp móm do xương hàm phát triển không đồng nhất mà các phương pháp chỉnh nha hay bọc răng sứ không thể giải quyết được.
Bác sĩ sẽ dùng thiết bị máy cắt xương chuyên dụng để tác động đến phần xương, cắt đẩy lùi hàm dưới về sau có thể kết hợp kéo xương hàm trên về phía trước để làm khít khớp cắn.
Thông thường các trường hợp cần điều chỉnh răng sẽ được can thiệp hoàn thiện chỉnh nha trước, sau đó mới phẫu thuật chỉnh móm. Hoặc cũng có thể phẫu thuật trước sau đó chỉnh nha hoàn thiện khớp cắn.

trường hợp nên phẫu thuật hàm móm
- Khuôn mặt dài và phần cuối cằm đưa ra
- Tầng dưới mặt và cằm dài mất cân đối với tầng mặt trên và giữa
- Hàm dưới phát triển quá mức làm cho tầng giữa mặt lõm
- Bị hạn chế chức năng năng do không thể cắn khít hàm bình thường đặc biệt ở vùng răng trước.
- Đã can thiệp chỉnh nha nhưng không hoặc ít hiệu quả.

Ưu điểm của phẫu thuật hàm MÓM
- Giải quyết nhanh tình trạng hô do hàm chỉ sau một lần phẫu thuật
- Giúp gương mặt cân đối, hỗ trợ chức năng ăn nhai dễ dàng
- Mang lại vẻ đẹp và sự tự tin cho khách hàng
- Tính an toàn cao, không gây ảnh hưởng đến những bộ phận khác
- Kết quả được duy trì vĩnh viễn.

Quy trình thực hiện phẫu thuật CHỈNH móm
Bước 1: Thăm khám và tư vấn. Bác sĩ nha khoa sẽ thực hiện kiểm tra các khớp cắn, kiểm tra hàm mặt cơ bản để xem xét, đánh giá mức độ móm, lấy dấu nghiên cứu, chụp ảnh các tư thế để lưu hồ sơ bệnh nhân, vệ sinh tổng quát răng miệng.
Bước 2: Tiến hành chụp CT scan từ đó xác định nguyên nhân, đánh giá và đề ra các phương pháp điều trị phù hợp cho khách hàng
Bước 3: Bác sĩ nha khoa và bác sĩ phẫu thuật hàm móm sẽ tiến hành hội chẩn để tìm ra phương pháp tối ưu, tiến hành làm máng hướng dẫn phẫu thuật để hỗ trợ cho quá trình phẫu thuật sau đó được thuận lợi.
Bước 4: Xét nghiệm tổng quát sức khỏe, đánh giá và tiên lượng kết quả phẫu thuật.
Bước 5: Thực hiện phẫu thuật hàm. Sau khi gây mê, bác sĩ sẽ thực hiện phẫu thuật dựa vào kế hoạch cụ thể đã thống nhất trước đó.
Phẫu thuật chỉnh móm được thực hiện tại Kubet theo quy định của Bộ Y tế. Bác sĩ tiến hành gây mê và tùy tình trạng móm của bạn mà bác sĩ sẽ thực hiện.

Phẫu thuật CHỈNH MÓM có hai phương pháp như sau:
Nếu móm mức độ trung bình: Phẫu thuật cắt xương hàm dưới trượt về sau (phương pháp BSSO) để làm khít khớp cắn.
Nếu móm nặng, hai hàm xa nhau quá nhiều: Phẫu thuật cắt xương hàm dưới đẩy lùi về sau (BSSO) và cắt chỉnh xương hàm trên kéo đưa về phía trước (Phương pháp Lefort I).
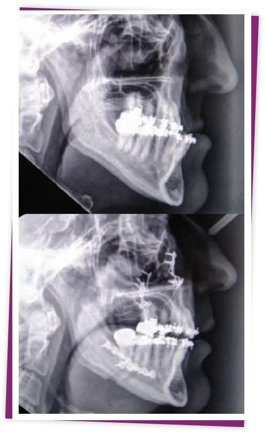
Sau khi chỉnh sửa vị trí tối ưu của 2 hàm, xương được cố định lại bằng nẹp vít cứng chắc, mang đến sự cân đối cho hai hàm, khớp cắn khít nhau, hỗ trợ việc ăn nhai.
Bước 6: Nghỉ ngơi tại Kubet 1 đêm sau phẫu thuật chỉnh móm
Bước 7: Tái khám, cắt chỉ theo chỉ dẫn của bác sĩ

Phẫu thuật hàm móm giá bao nhiêu?
Tùy vào độ phức tạp của ca phẫu thuật, trung bình chi phí của 1 ca phẫu thuật chỉnh móm dao động trong khoảng 70 – 100 triệu.
Phẫu thuật chỉnh móm (phẫu thuật hàm móm) là phương pháp tối ưu khắc phục tình trạng móm do xương hàm. Bạn sẽ sở hữu một khuôn mặt cân đối, xinh xắn hơn, ăn nhai tốt hơn sau khi phẫu thuật, giúp bạn tự tin và nâng cao chất lượng cuộc sống.


Phẫu thuật hàm móm có đau không? Giá bao nhiêu?
Phẫu thuật hàm móm là phương pháp giúp cải thiện sự cân đối cho gương mặt, điều chỉnh khớp cắn cho người bị móm, vậy phương pháp này có nguy hiểm không? Phẫu thuật hàm móm có đau không?
Móm xương hàm là gì?
Móm xương hàm là tình trạng sai lệch khớp cắn, do hàm dưới phát triển quá mức, ở trạng thái bình thường, hàm dưới sẽ nhô ra ngoài so với hàm trên, khiến gương mặt mất cân đối.

Móm xương hàm chỉ có thể điều chỉnh và cải thiện thông qua phương pháp phẫu thuật hàm móm.
Tại sao hàm lại bị móm?
Nguyên nhân khiến hàm móm chủ yếu đến từ yếu tố di truyền, 90% tỷ lệ người mắc tình trạng hàm móm xuất phát từ yếu tố này, nếu cha mẹ, ông bà có người bị móm bẩm sinh thì khả năng cao sẽ di truyền sang đời sau.
Bên cạnh yếu tố di truyền thì hàm móm còn xuất phát từ một vài thói quen xấu như: tật mút tay, ngậm núm ti giả hay đặt lưỡi không đúng vị trí, thói quen này khi duy trì trong thời gian dài sẽ khiến răng cửa mọc sai lệch, nặng hơn là khiến xương hàm phát triển không đúng cách, gây ra tình trạng móm.
Phẫu thuật hàm móm có nguy hiểm không?
Phẫu thuật chỉnh hàm móm không hề gây nguy hiểm nếu bạn thực hiện phẫu thuật tại cơ sở thẩm mỹ uy tín, chất lượng, ứng dụng công nghệ hiện đại.
Đối với những cơ sở thẩm mỹ uy tín, quy trình phẫu thuật hàm móm được thực hiện tại phòng mổ vô trùng, thiết bị máy móc chẩn đoán hiện đại, máy cắt xương đạt tiêu chuẩn phẫu thuật, những yếu tố này sẽ đem lại một quy trình phẫu thuật nhanh chóng, đảm bảo hiệu quả và an toàn với sức khỏe khách hàng.
Phẫu thuật hàm móm có đau không?
Phẫu thuật hàm móm là sự can thiệp trực tiếp đến xương hàm để cắt bỏ phần xương, đem lại sự cân đối cho gương mặt, do đó tâm lý lo lắng, e dè khi thực hiện phẫu thuật là điều hoàn toàn dễ hiểu.

Phẫu thuật hàm móm có đau không chính là câu hỏi được đặt ra nhiều trong chủ đề này, theo các chuyên gia thẩm mỹ, phẫu thuật hàm móm có đau, tuy nhiên mức độ đau nằm ở ngưỡng vừa phải, trong giới hạn chịu đựng của người bệnh.
Cảm giác đau nhức chỉ xuất hiện sau khi phẫu thuật kết thúc, do trước khi tiến hành phẫu thuật, bệnh nhân sẽ được gây tê để hạn chế cảm giác đau đớn.
Phẫu thuật hàm móm có đau, tuy nhiên không đau với mức độ cao như nhiều người vẫn nghĩ, sau phẫu thuật, bác sĩ sẽ hướng dẫn bạn cách chăm sóc, uống thuốc giảm đau để đảm bảo sinh hoạt bình thường.
Chính vì lý do đó, bạn không nên quá lo lắng trước khi thực hiện phẫu thuật để đảm bảo quy trình phẫu thuật diễn ra suôn sẻ.
Phẫu thuật hàm móm giá bao nhiêu?
Tùy vào mức độ phức tạp của ca phẫu thuật, chi phí chỉnh hàm móm có thể dao động từ 70 -100 triệu đồng.
Trong trường hợp người bệnh bị móm do răng, không phải do hàm, bác sĩ sẽ đề xuất điều chỉnh hàm móm thông qua phương pháp niềng răng, lúc này chi phí sẽ phụ thuộc vào hình thức niềng răng mà khách hàng lựa chọn, trung bình sẽ mất từ 30 – 70 triệu đồng.
Lưu ý sau phẫu thuật chỉnh hàm móm
Một số triệu chứng có thể gặp sau ca phẫu thuật hàm móm bao gồm: Sưng đau, thâm, tê, ngứa ran môi dưới, khớp cắn có sự thay đổi,…
Để hạn cải thiện các triệu chứng có thể xảy ra sau phẫu thuật, bạn cần lưu ý, thực hiện các phương pháp sau đây:
- Chườm đá nhẹ nhàng tại vùng má sưng, tê sau 2 – 3 ngày đầu sau phẫu thuật, phương pháp này sẽ giúp giảm sưng, đau hiệu quả.
- Sau khi tình trạng sưng giảm bớt, có thể chuyển sang chườm ấm để xóa tan vết thâm.
- Ưu tiên sử dụng thức ăn lỏng như: sữa, súp, cháo, nước trái cây trong vòng 1 – 2 tháng sau phẫu thuật.
- Không nên sử dụng thức ăn cứng hoặc dai vì lúc này cấu trúc xương hàm chưa ổn định hoàn toàn.
- Không ăn những món ăn có thể gây đau nhức như: xôi, nếp, thịt gà, hải sản, rau muống,…
Phẫu thuật chỉnh móm ở đâu tốt tại HCM?
Phẫu thuật hàm móm tác động trực tiếp đến xương hàm nhằm lấy lại sự cân đối cho gương mặt, do đó để đạt được hiệu quả cao, an toàn cho sức khỏe, bạn cần lựa chọn địa chỉ phẫu thuật uy tín, có kinh nghiệm chuyên môn trong lĩnh vực này.

Kubet Thẩm mỹ – - Ku Casino, với kinh nghiệm 10 năm hoạt động trong lĩnh vực - KuCasino, 20 năm trong lĩnh vực phẫu thuật Răng Hàm Mặt, tự tin là địa chỉ có thể mang đến cho bạn quy trình phẫu thuật an toàn, hiệu quả.
Với sự kết hợp của công nghệ, máy móc chẩn đoán hiện đại, các bác sĩ sẽ tìm ra giải pháp phù hợp để điều chỉnh hàm móm.
Quy trình phẫu thuật có sự kết hợp giữa chuyên gia răng hàm mặt và chuyên gia thẩm mỹ, nhờ đó hạn chế tối đa sai sót, đem đến gương mặt cân đối, khôi phục chức năng nhai sau phẫu thuật.
Trên đây là một vài giải đáp xoay quanh chủ đề phẫu thuật hàm móm, nếu có bất kỳ thắc mắc nào liên quan đến chủ đề này, hãy liên hệ trực tiếp với Kubet Worldwide để được hỗ trợ.
Phẫu thuật chỉnh móm giúp lột xác diện mạo gương mặt, hoàn hảo, không để lại sẹo, cực kỳ an toàn. Do vậy, không ít người băn khoăn liệu phẫu thuật hàm hô giúp đưa hàm trở về đúng vị trí, sao cho hai khớp cắn khít nhau và cải thiện tình trạng hô cách triệt để có được không? Cùng tìm hiểu chi tiết tại đây: