KHI NÀO NÊN PHẪU THUẬT CẮT THẮNG MÔI, THẮNG LƯỠI?
Tùy mức độ nặng của tật dính thắng môi, thắng lưỡi mà bác sĩ sẽ khám tỉ mỉ và có những hướng xử lý khác nhau. Thông thường, phẫu thuật cắt thắng sẽ được thực hiện dưới gây tê tại chỗ.
KHI NÀO NÊN PHẪU THUẬT CẮT THẮNG MÔI, THẮNG LƯỠI?
Tùy mức độ nặng của tật dính thắng môi, thắng lưỡi mà bác sĩ sẽ khám tỉ mỉ và có những hướng xử lý khác nhau. Thông thường, phẫu thuật cắt thắng sẽ được thực hiện dưới gây tê tại chỗ.

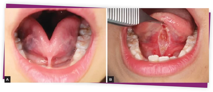
Phẫu thuật cắt thắng lưỡi.

Phẫu thuật cắt thắng môi.