I. BỆNH NHA CHU
1. Bệnh viêm nha chu là gì?
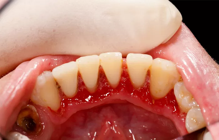
Bệnh nha chu là một bệnh thường gặp, đó là sự viêm nhiễm của nướu và mô xung quanh răng.

2. Nguyên nhân và hậu quả
Mảng bám răng hình thành do sự lắng đọng của thức ăn trên bề mặt răng. Vi khuẩn trong mảng bám kích thích làm viêm nướu, nếu không được chữa trị kịp thời, nướu không còn ôm sát vào răng tạo thành túi nha chu. Khi bệnh tiến triển, vi khuẩn xâm nhập vào xương gây ra tình trạng tiêu xương. Hậu quả làm răng lung lay và mất răng.
Một số nguyên nhân khá như chế độ ăn thiếu dinh dưỡng, stress, sự thay đổi nội tiết tố ở phụ nữ mang thai, bệnh tiểu đường,…cũng dễ dẫn đến bệnh nướu răng.
Viêm nha chu là bệnh lý mãn tính và thường không có triệu chứng rõ rệt, do đó rất dễ bị bỏ sót. Đa số các bệnh nhân đến điều trị khi răng đã bị đau hay lung lay nhiều, khi đó điều trị sẽ khó khăn và phức tạp hơn rất nhiều.
Nhiều trường hợp bệnh nhân đến khám và điều trị khi bệnh tiến triển nặng và không thể giữ được răng. Lúc đó, bệnh nhân cần phải nhổ toàn bộ răng và phục hồi bằng kỹ thuật All on 4 hoặc All on 6 hoặc phải đeo hàm tháo lắp.
3. Triệu chứng của bệnh nha chu là gì?
Viêm nha chu là bệnh nhiễm trùng nướu, làm tổn thương phần mô mềm, sau đó sẽ phá hủy các xương răng xung quanh, thậm chí làm mất răng, viêm tủy, tiêu xương hàm,…để phát hiện sớm bệnh nha chu, chúng ta cần nắm được các triệu chứng của bệnh nha chu.

Nướu ở trạng thái bình thường sẽ có màu sắc hồng hào, tự nhiên, cứng và ôm khít chân răng, khi bị bệnh viêm nha chu, nướu bị vi khuẩn tấn công, gây ra các triệu chứng như:
- Sưng nướu
- Nướu có màu đỏ sẫm, đỏ tươi
- Nướu nhạy cảm, dễ bị chảy máu
- Nướu không ôm khít răng, khiến răng trông dài hơn bình thường
- Xuất hiện mủ giữa răng và nướu
- Hôi miệng
- Răng lung lay
- Có khoảng trống phát triển giữa nướu và răng,…
4. Đối tượng nguy cơ bệnh nha chu cao nhất?
Nguyên nhân chủ yếu dẫn đến bệnh viêm nha chu đến từ việc vệ sinh răng miệng kém, tuy nhiên vẫn có những nguyên nhân khác gây ra bệnh lý này, người bệnh dù chăm sóc răng miệng kỹ vẫn có khả năng mắc bệnh viêm nha chu, vậy đối tượng nào có nguy cơ bị bệnh nha chu?

Dưới đây là những đối tượng có nguy cơ bị bệnh nha chu cao hơn người bình thường:
- Người bị viêm nướu
- Người chăm sóc răng miệng kém
- Người thường xuyên sử dụng thuốc lá
- Người thiếu chất (Đặc biệt là vitamin C)
- Người sử dụng một số loại thuốc gây khô miệng
- Người đang điều trị bệnh, khiến hệ thống miễn dịch suy giảm
- Người bị viêm khớp dạng thấp, người mắc bệnh tiểu đường, bệnh Crohn,…
5. Điều trị
- Cạo vôi răng để làm sạch và làm láng bề mặt răng.
- Nạo sạch túi nha chu trong trường hợp có túi nha chu.
- Phối hợp dùng thêm thuốc kháng sinh trong trường hợp nặng.
6. Phòng ngừa
- Chải răng sau khi ăn và trước khi đi ngủ để làm sạch mảng bám.
- Khám răng định kỳ để kiểm tra răng và làm sach răng tại phòng khám 2-3 lần/năm.
II. BẢNG GIÁ NHA KHOA TỔNG QUÁT TẠI Kubet WORLDWIDE
| NHA KHOA TỔNG QUÁT: | |
| Cạo vôi đánh bóng (độ 1) | 400.000 / 2 hàm |
| Cạo vôi đánh bóng (độ 2) | 500.000 / 2 hàm |
| Cạo vôi + Thổi cát | 600.000 – 700.000 / 2 hàm |
| Cạo vôi dưới nướu | 2.000.000 / 1 hàm |
| Nạo túi nha chu | 550.000 / 1 răng |
| Nạo túi nha chu bằng Laser | 1.100.000 / 1 răng |
| Trám răng | 400.000 – 600.000 / 1 răng |
| Chữa tủy / Chữa tủy lại | 3.000.000 – 5.500.000 / 1 răng |
Hãy liên hệ ngay với chúng tôi để được tư vấn Miễn Phí !
Kubet THẨM MỸ – - Ku Casino
TƯ VẤN 24/7: ( –
Bệnh nha chu được xếp vào danh sách bệnh lý răng miệng phổ biến nhất hiện nay, bệnh lý này gây ra nhiều khó khăn cho người bệnh, vậy điều trị bệnh nha chu như thế nào cho hiệu quả? Hãy cùng tìm hiểu thông qua bài viết ngày hôm nay.
III. NHỮNG PHƯƠNG PHÁP ĐIỀU TRỊ BỆNH NHA CHU HIỆN NAY
Mục tiêu của việc điều trị bệnh nha chu chính là loại bỏ triệt để các túi viêm quanh chân răng, ngăn ngừa tổn thương cho những răng xung quanh, do đó trong các phương pháp điều trị bệnh nha chu, bao gồm cả việc điều trị nha chu tại nhà, thông qua việc điều chỉnh thói quen chăm sóc răng miệng.
1. Phương pháp điều trị bệnh nha chu không phẫu thuật
Nếu tình trạng viêm nha chu ở mức độ nhẹ, bác sĩ có thể áp dụng một số phương pháp điều trị bệnh nha chu không cần phẫu thuật như:
- Cạo vôi răng, loại bỏ vi khuẩn khỏi bề mặt răng, nướu
- Bào láng gốc răng, ngăn chặn tích tụ cao răng
- Cho người bệnh sử dụng thuốc kháng sinh tại chỗ nhằm kiểm soát nhiễm khuẩn
2. Phương pháp điều trị bệnh nha chu phẫu thuật
Trong trường hợp vi khuẩn phát triển mạnh, khiến bệnh viêm nha chu nghiêm trọng, bác sĩ sẽ áp dụng các phương pháp điều trị bệnh nha chu cần đến phẫu thuật như:
- Phẫu thuật làm giảm túi viêm
- Ghép mô liên kết lấp đầy
- Ghép xương (Được thực hiện khi viêm nha chu đã làm hỏng xương hàm)
IV. NHỮNG BIẾN CHỨNG BỆNH NHA CHU THƯỜNG GẶP
Viêm nha chu là bệnh lý răng miệng khá phổ biến, nhưng không vì vậy mà chúng ta xem nhẹ căn bệnh này, vì bệnh nha chu nếu không được điều trị sớm sẽ gây ra nhiều biến chứng nguy hiểm.
Một số biến chứng thường gặp của bệnh nha chu gồm có:
- Làm tăng nguy cơ mất răng
- Làm tăng nguy cơ mắc bệnh tim, đột quỵ
- Tăng nguy cơ mắc bệnh tiểu đường
- Tăng nguy cơ mắc ung thư
- Gây ra các bệnh về đường hô hấp
V. CÁCH PHÒNG NGỪA BỆNH NHA CHU HIỆU QUẢ
Bệnh viêm nha chu thường bắt nguồn từ thói quen vệ sinh răng miệng không hợp lý, do đó cách phòng ngừa bệnh nha chu hiệu quả nhất chính là có thói quen vệ sinh răng miệng khoa học.
Nên đánh răng ít nhất 2 lần mỗi ngày, mỗi lần nên đánh ít nhất 2 phút, ưu tiên chải răng theo chiều dọc và xoay tròn, dùng chỉ tơ nha khoa ít nhất 1 lần 1 ngày.

Bên cạnh việc vệ sinh răng miệng thường xuyên thì khám răng định kỳ cũng là cách phòng ngừa bệnh nha chu hiệu quả, nên khám răng định kỳ 6 tháng/ 1 lần để loại bỏ cao răng và phát hiện sớm các bệnh lý răng miệng.
VI. CÁCH CHỮA VIÊM NHA CHU TẠI NHÀ
Viêm nha chu gây nên bởi mảng bám cứng đầu và vôi răng, do đó nếu loại bỏ được mảng bám quanh chân răng, bạn có thể hạn chế tình trạng viêm nhiễm này, dưới đây là một số cách chữa viêm nha chu tại nhà mà bạn có thể áp dụng:
- Súc miệng với nước muối
- Uống nước gừng ấm vào buổi sáng
- Thoa hỗn hợp nước cốt chanh + muối lên vùng răng bị bệnh
- Súc miệng với rượu cây lược vàng
- Thoa mật ong lên vùng răng bị nha chu
- Ăn trái việt quất để bảo vệ răng
- Dùng Baking Soda để đánh răng
Lưu ý: Những cách chữa viêm nha chu tại nhà trên đây chỉ mang lại tác dụng trong trường hợp viêm nha chu ở cấp độ nhẹ, chưa ảnh hưởng đến xương hàm, các trường hợp viêm nha chu diễn biến nghiêm trọng, người bệnh nên đến nha khoa uy tín để điều trị kịp thời.
Trên đây là một vài phương pháp điều trị bệnh nha chu được áp dụng hiện nay, tùy vào tình trạng viêm nhiễm mà bác sĩ sẽ chỉ định áp dụng phương pháp điều trị cụ thể, do đó để chữa trị dứt điểm bệnh nha chu trong thời gian sớm nhất, hãy liên hệ với Kubet - Ku Casino để được hỗ trợ.
TOP 5 vấn đề về bệnh răng miệng thường gặp hiện nay:
- Nguyên nhân và cách điều trị chảy máu chân răng hiệu quả
- Chân răng bị đen và 5 cách chữa hiệu quả nhất hiện nay
- Viêm nướu: Cách nhận biết và phòng tránh nhất định phải làm
- Nguyên nhân bị hôi miệng là gì? Cách trị hôi miệng dứt điểm
- Răng nhạy cảm và phương pháp điều trị tận gốc bằng Laser Lightwalker
English
