Chúng ta biết rằng tủy răng là mô sợi ở giữa răng bao gồm mạch máu và thần kinh. Tủy răng và các mô nâng đỡ xung quanh răng có chức năng nuôi dưỡng cho răng, tuy nhiên trong một số trường hợp cần phải chỉ định điều trị tủy răng, khi đó sự nuôi dưỡng cho răng do các mô nha chu xung quanh răng đảm nhiệm.
Những trường hợp được chỉ định điều trị tủy răng
- Tủy răng bị viêm hoặc hoại tử
- Răng có lỗ sâu lớn sát với buồng tủy
- Tủy răng bị lộ ra do tai nạn té ngã, hoặc do làm phục hình

Quy trình điều trị tủy răng hiệu quả
Các bước tiến hành của việc điều trị tủy răng như sau:
- Bước 1: Gây tê ( bước này không cần thực hiện đối với những trường hợp tủy răng đã bị chết)
- Bước 2: Mở đường vào ống tủy
- Bước 3: Dũa sạch và tạo độ thuôn cho ống tủy
- Bước 4: Trám bít ống tủy bằng gutta percha
Việc dũa sạch và trám kín ống tủy là yếu tố quan trọng cho sự thành công của một ca chữa tủy răng. Trước đây người ta sử dụng trâm tay K file để dũa ống tủy, vì phải sử dụng nhiều trâm theo thứ tự từ nhỏ đến lớn nên mất nhiều thời gian, tuy nhiên khó làm sạch hết tủy, nhất là trong những trường hợp khó, và vì không tạo được độ thuôn cho ống tủy nên việc trám bít ống tủy đôi khi không được như mong muốn.
Những năm sau này, với sự ra đời của các hệ thống trâm xoay Ni-Ti, giúp cho việc dũa sạch và tạo độ thuôn cho ống tủy tốt hơn, vì thế trám bít ống tủy tốt hơn, thời gian điều trị cũng nhanh hơn đáng kể. Có thể nói, trâm xoay Ni-Ti nâng cao chất lượng cho việc điều trị tủy răng và làm gia tăng sự hài lòng của bệnh nhân.


Những điều cần lưu ý khi điều trị tủy răng khó
Một số đặc điểm của răng làm cho việc điều trị tủy răng thuận lợi hoặc khó khăn hơn, bao gồm các đặc điểm sau:
- Răng sau khó chữa tủy hơn răng phía trước do có nhiều ống tủy hơn và sự há miệng của bệnh nhân cũng hạn chế hơn
- Răng cửa dưới tuy là răng phía trước nhưng hình dáng răng thanh mảnh, ống tủy thường nhỏ hẹp nên việc chữa tủy thường khó hơn các răng khác
- Ống tủy hẹp khó hơn ống tủy rộng
- Ống tủy cong khó hơn ống tủy thẳng
- Ống tủy dài khó hơn ống tủy ngắn
- Chữa tủy xuyên qua mão cho răng đang bọc mão khó hơn chữa cho răng không có bọc mão
Như vậy một ca chữa tủy khó khi răng có một hoặc vài đặc điểm bất lợi, độ khó càng gia tăng khi càng có nhiều yếu tố bất lợi. Trong những trường hợp khó, việc điều trị bằng trâm tay K file càng mất nhiều thời gian và khó thành công hơn do khó đi hết chiều dài ống tủy, khó lấy sạch tủy và khó trám kín ống tủy
Tại Kubet Worldwide, chúng tôi sử dụng một số hệ thống trâm xoay Ni-Ti như Protaper, Wave-one, Wave-one gold, Reciproc, Hyflex. phần lớn các ca điều trị tủy được chúng tôi giải quyết trong một lần hẹn, trừ một số trường hợp đang viêm tủy cấp hoặc có nhiễm trùng ở chóp chân răng cần phải đặt thuốc.
Một số ca chữa tủy răng khó thực tế tại Worldwide
Sau đây là hình ảnh của một vài ca chữa tủy không đau được thực hiện tại Worldwide với hệ thống trâm xoay Ni-Ti.
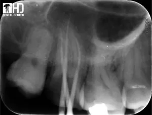
1/ Chữa tủy răng cối lớn hàm trên

Đây là trường hợp chữa tủy răng cối lớn hàm trên, chân răng dài, ống tủy hẹp và cong. Sử dụng trâm Wave-one, chúng tôi đã sửa soạn được hết chiều dài của ông tủy, lấy sạch tủy và tạo độ thuôn cho ống tủy, sau đó trám bít ống tủy bằng gutta percha. Các bạn có thể nhìn thấy trên film X quang sau khi chữa tủy, những đường màu trắng ở trong răng là hình ảnh của gutta percha được dùng để trám bít ống tủy
2/ Chữa tủy răng cối lớn hàm dưới

Đây là một ca điều trị tủy răng cối lớn hàm dưới, có cả 3 ống tủy đều bị cong. Chúng tôi đã sử dụng trâm Reciproc trong trường hợp này.
3/ Chữa tủy xuyên qua mão răng

Bệnh nhân có một cầu răng sứ 4 đơn vị ( từ răng 48 đến răng 45 ). Vì tình trạng cầu răng còn tốt, nhưng răng 48 bị viêm tủy gây đau, chúng tôi đã quyết định chữa tủy xuyên qua mão răng để giữ lại cầu răng cho bệnh nhân
Răng 48 là răng khôn hàm dưới, ở vị trí sau nhất của hàm răng, trường hợp này răng 48 còn bị nghiêng gần, và phải chữa tủy xuyên qua mão răng sứ, nên đây là một ca khá khó khăn. Sử dụng trâm Wave-one, chúng tôi đả đạt được kết quả điều trị tốt
4/ Chữa tủy răng cửa hàm dưới

Đây là những răng cửa dưới có vị trí lệch ngoài, chỉ định lấy tủy để làm răng sứ thẩm mỹ. Ca chữa tủy răng cửa này được điều trị bằng trâm Hyflex.
Tât cả các trường hợp trên được điều trị tại Kubet - Ku Casino, hoàn tất chỉ trong một lần hẹn và không gây đau. Có thể nói, việc sử dụng trâm xoay Ni-Ti đã giúp chúng tôi rút ngắn thời gian điều trị, nâng cao chất lượng và hiệu quả của điều trị tủy răng, mang lại sự hài lòng và tin tưởng cho bệnh nhân.
Xem thêm: