Với sự phát triển của khoa học công nghệ, kỹ thuật và các dụng cụ chỉnh nha ngày càng được cải tiến, bạn không cần phải lo lắng khi muốn niềng răng.
Trước kia, niềng răng luôn là nỗi lo lắng của các bậc cha mẹ và nỗi sợ của các bạn trẻ khi không may mắn có một hàm răng lệch lạc, không thẳng hàng. Những băn khoăn ấy xuất phát từ việc nhổ răng đau gây ảnh hưởng đến sức khỏe và học tập; mang niềng răng nhìn không đẹp chút nào, việc chăm sóc răng khi mang niềng quá phức tạp; thời gian mang niềng quá lâu, chi phí niềng răng cao và làm thế nào để tìm được một địa chỉ niềng răng uy tín.
Có nhiều lý do khiến các bạn trẻ lần lữa không chịu niềng răng để rồi răng ngày càng xấu đi, khiến họ mất dần sự tự tin, hạn chế cười trước đám đông và bỏ lỡ nhiều cơ hội. Với sự phát triển của khoa học công nghệ, kỹ thuật và các dụng cụ chỉnh nha niềng răng đã dần được cải tiến. Những lo lắng và băn khoăn này sẽ được các bác sĩ tại Trung tâm Nha khoa Dr Hùng và cộng sự giải quyết nhẹ nhàng.
Giải pháp cho những nỗi lo khi niềng răng

Bạn vẫn đẹp ngay khi đang mang niềng răng
– Nhổ răng không đau: Các em ở tuổi thanh thiếu niên cần nhổ răng để chỉnh nha, các bác sĩ sẽ thực hiện kỹ thuật nhổ răng không sang chấn bằng máy piezo. Việc nhổ răngdiễn ra nhẹ nhàng, không đau và nhanh tới mức bạn không biết chiếc răng đã được lấy ra từ lúc nào.
Với các em được chăm sóc răng từ nhỏ tại TTNK Dr Hùng và cộng sự nếu vẫn cần điều trị chỉnh nha thì không cần phải nhổ răng vì tại đây có can thiệp để răng mọc đúng vị trí ngay từ khi bé bắt đầu thay răng sữa.

Việc chăm sóc cũng đơn giản hơn.
Chăm sóc răng khi mang niềng răng phức tạp: việc giữ vệ sinh trong quá trình chỉnh nha rất quan trọng, bạn phải tuân thủ quy định vệ sinh răng miệng theo sự hướng dẫn của bác sĩ. Ngày nay, có nhiều công cụ để bạn có thể chăm sóc răng niềng dễ hơn như bàn chải kẽ, tăm nước, nước súc miệng, chỉ nha khoa cho chỉnh nha….Vệ sinh răng miệng sạch sẽ có thể giúp kết quả chỉnh nha tốt hơn nhiều.
– Thời gian mang niềng răng: theo các chuyên gia, với các kỹ thuật mới hiện nay, thời gian niềng răng giảm đi đáng kể so với trước kia, nhưng các bạn đừng bị “dụ dỗ” bởi điều này.
Các bậc cha mẹ khi đưa con đi chỉnh nha, hãy tin tưởng để bác sĩ quyết định thời gian điều trị, đừng đưa ra đề nghị và đừng vội vàng lựa chọn một bác sĩ chỉnh nha chỉ vì thời gian điều trị ngắn… Đó có thể là sai lầm nghiêm trọng khiến bạn hối hận vì đã làm hư răng của con, không thể cứu vãn được.
Việc kéo răng nhanh quá để rút ngắn thời gian mang niềng sẽ khiến răng không kịp phục hồi, tiêu chân răng quá mức, tiêu xương… Đặc biệt, các bạn ở lứa tuổi trưởng thành (sau 18 tuổi) cần phải cẩn thận khi mong muốn rút ngắn thời gian chỉnh nha. Ở độ tuổi này việc phục hồi chân răng và xương ổ răng do kéo nhanh quá mức sẽ khó khăn hơn ở lứa tuồi thiếu niên, thậm chí có thể không hồi phục được.
Tiến sĩ, bác sĩ Đỗ Đình Hùng – Giám đốc Trung tâm Nha khoa Dr Hùng và cộng sự khuyên: “Hãy sáng suốt khi chọn mang niềng răng trong 2 năm để có hàm răng chắc khỏe đến năm 80 tuổi thay vì chỉ một năm mang niềng răng nhưng lại mất răng ở lứa tuổi trung niên”.
Làm thế nào để tìm được một địa chỉ niềng răng uy tín?
Trước khi chỉnh nha cho con bạn hay chính bạn, hãy tìm hiểu xem vị bác sĩ chỉnh nha này có bằng cấp chuyên môn về chỉnh nha không? Những bằng cấp đào tạo thường xuyên và đào tạo chuyên sâu thế nào ? danh tiếng của Trung tâm nha khoa này có tốt không? Trung tâm có đầy đủ các chuyên khoa sâu về điều trị răng miệng không? rồi bạn hãy quyết định.
Bởi kết quả của việc chỉnh nha không chỉ đơn giản là chỉnh răng, trong nhiều trường hợp phức tạp cần sự can thiệp của các bác sĩ chuyên khoa trong các lĩnh vực khác như điều trị nướu nếu bị viêm, đặt implant sau khi chỉnh nếu bị mất răng còn khoảng trống lớn…
Kết quả hay hậu quả của việc chỉnh nha sẽ ảnh hưởng đến chất lượng răng của bạn hay con bạn trong suốt cuộc đời. Vì vậy hãy lựa chọn những trung tâm nha khoa có đầy đủ các chuyên khoa về răng và có uy tín về chỉnh nha, niềng răng để tránh những sai lầm đáng tiếc xảy ra.

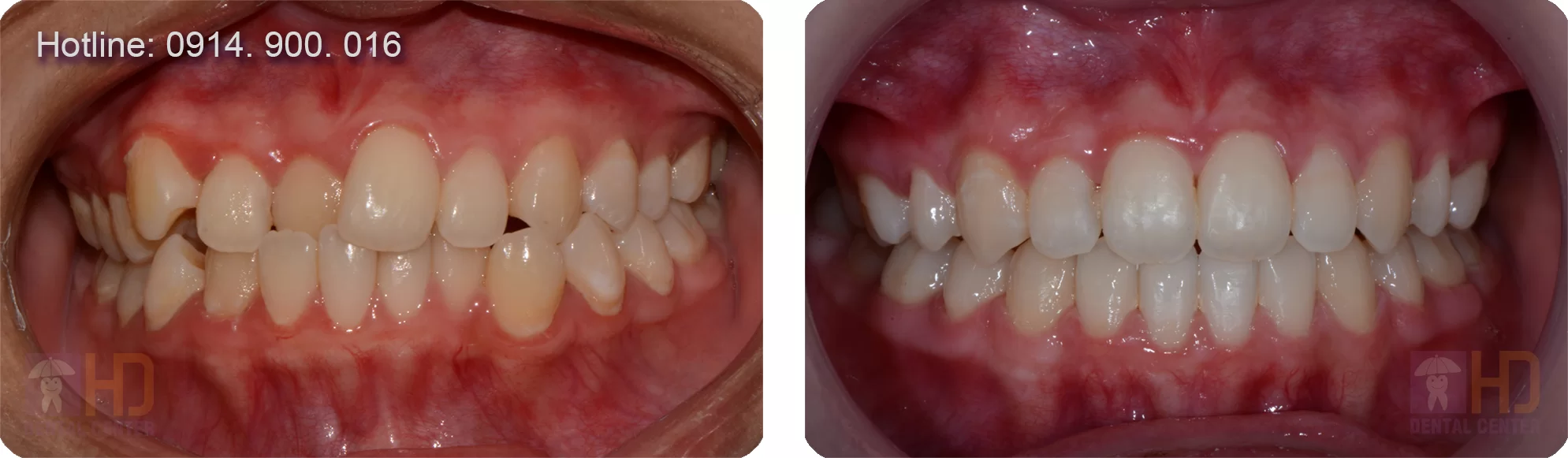
Một ca điều trị chỉnh nha tại Trung tâm Nha khoa Dr Hùng và cộng sự.
Chi phí niềng răng thấp, ai cũng có thể làm được: chương trình “Cho nụ cười tuổi trẻ Việt Nam” năm thứ 3 tại Trung tâm Nha khoa Dr Hùng và cộng sự ưu đãi đặc biệt: giảm đến 20% chi phí điều trị (từ 20 triệu đồng) và được trả dần trong suốt 2 năm niềng răng.
Qua chương trình này, Tiến sĩ, bác sĩ Đỗ Đình Hùng hy vọng mang đến cho thế hệ trẻ Việt Nam nụ cười rạng rỡ, sánh vai với các nước tiên tiến trên thế giới với chi phí thấp nhất có thể (chỉ bằng 1/10 chi phí tại các nước tiên tiến với vật liệu và kỹ thuật tương đương).
Chương trình kéo dài trong 3 tháng hè (từ 1/6 đến 31/8) – đây là ưu đãi đặc biệt dành cho học sinh, sinh viên và người trẻ đang đi làm. Bạn có thể đăng ký ngay hôm nay để nhận nhiều quà tặng và các chương trình chiết khấu khác áp dụng cho 100 bạn đầu tiên đăng ký.
Liên hệ: Trung tâm Nha khoa Dr Hùng và cộng sự
Địa chỉ: Building 244 A Cống Quỳnh, phường Phạm Ngũ Lão, quận 1, TP HCM
Điện thoại: –
Email:
Website: benhvienworldwide.vn
Tham vấn chuyên môn: Bác sĩ Nguyễn Mộng Đăng Kiều
English