Nụ cười là vô cùng quan trọng, chỉ cần sở hữu nụ cười đẹp, chắc chắn nhan sắc bạn sẽ được thăng hạng vài phần!
Mất sự tự tin vì nụ cười còn nhiều khuyết điểm
Ấn tượng đầu tiên khi gặp mặt một người chắc chắn là nụ cười. Một nụ cười đẹp sẽ dẫn lối bạn đến những thành công và cơ hội mới. Tuy nhiên, không phải ai cũng may mắn sở hữu được nụ cười xinh, và chắc chắn sẽ có cách để khắc phục những khuyết điểm bạn đang gặp phải. Trường hợp của bạn nữ khách hàng đến với Kubet RHM Worldwide cũng vậy, dường như bạn đã không thể cười tự tin trong nhiều năm qua. Quyết định chỉnh nha là bạn đang tiến thêm một bước gần hơn với nụ cười hoàn hảo.

Đã đến lúc phải trở thành phiên bản tốt nhất của bản thân
Có thể bạn đã sống với hàm răng thưa, lệch lạc và kém thẩm mỹ trong nhiều năm. Nhưng bây giờ, bạn hoàn toàn có thể thay đổi điều đó. Bạn T.T.L. đã quyết định lựa chọn niềng răng – một phương pháp đã giúp hàng triệu người trên thế giới có được nụ cười như ý.
Niềng răng không chỉ là việc cải thiện thẩm mỹ, mà còn giúp có một hàm răng khỏe mạnh, chức năng nhai tốt hơn, tự tin hơn trong giao tiếp.
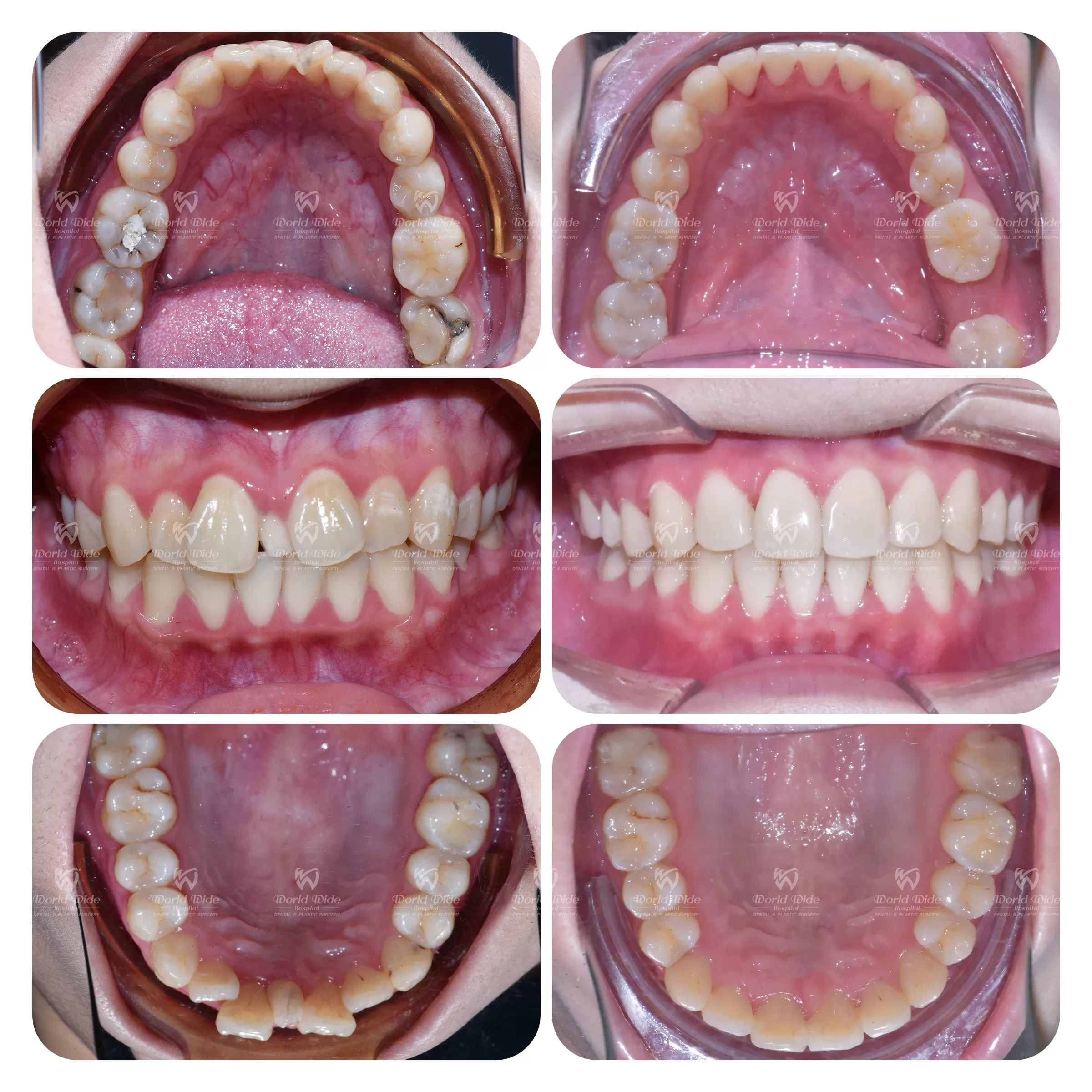
Trực tiếp nhận nhận ca điều trị là Bác sĩ Minh Hương – một bác sĩ chuyên khoa chỉnh nha tận tâm tại Kubet RHM Worldwide. Sau khi thăm khám, tình trạng răng của bạn T.T.L. bị thưa, chen chúc, răng dư, và có một răng bị vỡ lớn, cần phải chữa tủy. Bs. Minh Hương đã đưa ra một giải pháp tối ưu, giúp bạn T.T.L. đạt được nụ cười mong muốn với phương pháp chỉnh nha bằng Invisalign.

Cuối cùng, bạn đã sở hữu nụ cười hoàn mỹ, lấy lại sự tự tin
Tháo niềng chắc chắn sẽ là ngày mà các “đồng niềng” háo hức mong chờ nhất. Sau khoảng thời gian dài đeo niềng, răng đã thẳng hàng hơn, không còn hô, móm, chen chúc nữa. Sự ổn định của răng sẽ giúp đường nét trên gương mặt thay đổi theo hướng tích cực. Rõ ràng có thể nhận thấy góc mặt nghiêng của bạn T.T.L. đã trở nên hài hòa và thanh thoát hơn sau khi tháo niềng.

Sau 20 tháng, với tay nghề chuyên môn vững chắc của Bs. Minh Hương, thời khắc nhận “trái ngọt” đã đến. Bạn T.T.L. đã sở hữu nụ cười tươi sáng, trong trẻo hơn và nhận thấy rõ nét sự tự tin trên khuôn mặt. Bạn T.T.L. chia sẻ: “Giờ em cảm thấy thoải mái hơn hẳn, tự tin hơn khi giao tiếp. Em muốn gửi lời cảm ơn đến Bs. Minh Hương và các chị điều dưỡng đã tận tình với em trong suốt hành trình niềng răng. “

Hành trình này có thể kéo dài từ vài tháng đến vài năm, nhưng kết quả sẽ là nụ cười mà bạn đã hằng mơ ước bấy lâu. Mỗi bước tiến trong hành trình chỉnh nha sẽ mang bạn gần hơn với sự tự tin và hài lòng. Đừng ngại bắt đầu hành trình niềng răng, vì mỗi nỗ lực đều đáng giá cho tương lai của bạn. Hãy biến nụ cười hoàn hảo thành hiện thực!
Bài viết được tham vấn bởi Bs. Minh Hương – Bs. Khoa chỉnh nha Kubet RHM Worldwide.
English