Lần đầu tiên tại Việt Nam : giải pháp “ALL ON 4” với máng hướng dẫn phẫu thuật thế hệ mới thực hiện tại TT Nha Khoa Dr Hùng & cộng sự .
Cô T.T.H, 55 tuổi, mất toàn bộ răng hàm dưới và phải đeo hàm giả tháo lắp hơn 10 năm nay. Tuy nhiên, hàm giả không khít sát làm cô khó ăn nhai và cảm giác không thoải mái vì kém thẩm mỹ.
Sau khi phân tích kỹ lưỡng trường hợp của bệnh nhân, chúng tôi quyết định phối hợp cùng các chuyên gia từ Mỹ thực hiện giải pháp “All on 4” với máng hướng dẫn phẫu thuật thế hệ mới. Đây là phương pháp tân tiến nhất và chưa từng có tại Việt Nam.
All on 4 là phương pháp chỉ cần đặt 4 trụ Implant trên 1 hàm mất răng toàn bộ sau đó làm hàm giả gắn chặt trên 4 Implant. Phương pháp này là giải pháp tối ưu cho những trường hợp bị mất xương nhiều ở vùng 2 bên răng hàm, không phải ghép xương và giúp tiết kiệm chi phí cho bệnh nhân.
Đội ngũ bác sỹ phẫu thuật, bác sỹ phục hình và kỹ thuật viên labo tại trung tâm nha khoa dr.Hùng và cộng sự đã làm việc trực tuyến cùng các chuyên gia tại Mỹ, thiết kế bộ máng hướng dẫn phẫu thuật gồm 3 máng, đảm bảo việc mài chỉnh xương, và cắm Implant được thực hiện nhanh chóng và chuẩn xác nhất. Ngay sau khi phẫu thuật, bệnh nhân được gắn phục hình tạm tức thì. Hiện tại, cô T.T.H cảm thấy hài lòng với hàm răng “giả như thật”, và đã hoàn toàn tự tin với nụ cười của mình.
Dưới đây là toàn bộ QUY TRÌNH THỰC HIỆN CA PHẪU THUẬT ALL ON 4 VỚI MÁNG HƯỚNG DẪN PHẪU THUẬT đã được thực hiện tại TTNK Dr Hùng & cộng sự:
Trước phẫu thuật
Khám lâm sàng
Bệnh nhân: Trần .T. H , 55 tuổi.
Tiền sử :
- Hàm trên: hàm tháo lắp khung bộ từng phần, đã mang được 5 năm.
- Hàm dưới: Hàm tháo lắp toàn phần, đã mang được 5 năm.
Chẩn đoán: Hàm tháo lắp toàn phần hàm dưới lỏng, không ổn định do sống hàm tiêu nhiều.
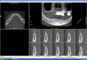
Chụp phim CT bệnh nhân


Sau khi khảo sát lâm sàng và từ các dữ liệu của bệnh nhân, phương án điều trị được đưa ra là “All on 4” với máng hướng dẫn phẫu thuật. (cắm 4 Implant vào các vị trí răng 32, 35, 42, 45 và gắn phục hình tạm tức thì trên Implant).
Chụp CT và scan hàm giả bệnh nhân đang đeo




Dựa trên các dữ liệu của phim CT & phần mềm Nobel Clinician để lên kế hoạch điều trị:
Tuy nhiên nhóm bác sỹ nhận thấy sống hàm vùng cằm tại các vị trí răng 32, 35, 42, 45 cần đặt implant không bằng phẳng, nhỏ và nhọn.
Do đó nhóm Bs quyết định phương án: gọt thấp xương hàm vùng cằm để gia tăng kích thước đường kính của các implant và tạo thuận lợi cho phục hình sau này.
Làm việc trực tuyến cùng các chuyên gia tại Mỹ, thống nhất kế hoạch điều trị và thiết kế máng hướng dẫn phẫu thuật.


Sau khi thảo luận, chúng tôi quyết định thiết kế bộ máng hướng dẫn phẫu thuật gồm 3 máng:
– Máng đầu tiên mô phỏng theo hàm răng giả của bệnh nhân đang đeo, cắn khớp với răng hàm trên, có tác dụng xác định các vị trí mài xương.
– Máng thứ hai dùng để kiểm tra bờ xương sau khi mài, đảm bảo bờ xương bằng phẳng và thuận lợi nhất cho việc cắm Implant.
– Máng thứ ba hướng dẫn các vị trí cắm Implant. Phục hình tạm được thiết kế nhờ công nghệ CAD/CAM để gắn cho bệnh nhân ngay sau khi cắm Implant.
Chuyển kế hoạch điều trị và các dữ liệu cần thiết cho labo để sản xuất máng hướng dẫn phẫu thuật và phục hình tạm tức thì.
Nhóm bác sỹ phẫu thuật tại trung tâm thảo luận lần cuối quy trình phẫu thuật.
Ngày phẫu thuật
Chuẩn bị phòng mổ, chuẩn bị cho bệnh nhân. Bệnh nhân được kiểm tra sức khỏe toàn thân và tiến hành phẫu thuật đặt Implant dưới tiền mê và gây tê tại chỗ.
Tiến hành phẫu thuật:
- Đặt máng hướng dẫn phẫu thuật thứ nhất để xác định 3 vị trí cố định máng hướng dẫn phẫu thuật và đánh dấu các vị trí mài xương.


- Mài xương theo vị trí đã đánh dấu, đặt máng hướng dẫn phẫu thuật thứ 2 với các pin cố định để kiểm tra bờ xương sau khi mài.

- Đặt máng hướng dẫn phẫu thuật thứ 3 để cắm implant theo kế hoạch điều trị. 4 implant được khoan tạo lỗ và cắm theo đúng thiết kế.




Cuối cùng, phục hình tạm tức thì được gắn trên implant.


Sau phẫu thuật
Kết quả:
- Thời gian phẫu thuật : 01h 45 phút
- Phẫu thuật xâm lấn tối thiểu
- Các bước phẫu thuật đã được tiến hành đúng kế hoạch
- Phục hình tạm cố định đã được thực hiện trước với kỹ thuật CAD/CAM được đặt nhanh chóng, chính xác ngay sau phẫu thuật
- Bệnh nhân khỏe mạnh , vui vẻ sau phẫu thuật và có răng liền ngay sau phẫu thuật
- Kết quả điều trị hoàn hảo và làm hài lòng bệnh nhân và thầy thuốc.
Bệnh nhân được hẹn đến tái khám định kì, kiểm tra mức độ lành thương. Sự lành thương của bệnh nhân diễn ra rất tốt. Sau 10 ngày, vết mổ đã khép miệng và có thể cắt chỉ. Hàm tạm tức thì thực hiện chức năng ăn nhai tốt và đảm bảo thẩm mỹ.
Sau 6 tháng, bệnh nhân sẽ được gắn phục hình cố định vĩnh viễn.
Kết luận
Ứng dụng công nghệ CAD/CAM giúp cho việc điều trị nhanh chóng, dễ dàng, chính xác và ít xâm lấn.
Thực hiện quan niệm phục hình hướng dẫn phẫu thuật đặt Implant đảm bảo tính thẩm mỹ và chức năng của phục hình.
Tại Trung tâm nha khoa Dr.Hùng và Cộng sự, với mô hình làm việc “team work”, có sự phối hợp chặt chẽ giữa các bác sĩ phẫu thuật, bác sĩ phục hình, các kỹ thuật viên chuyên nghiệp tại “Lab in house”, cùng với sự hợp tác quốc tế, chúng tôi tự hào có thể mang đến cho khách hàng hàng của mình những điều trị tốt nhất của ngành nha khoa hiện đại của thế giới ngày nay.
BẢNG GIÁ DỊCH VỤ IMPLANT NHA KHOA
D. IMPLANT NHA KHOA: | Giá Bảo Hiểm (VND)* | Giá Kỹ Thuật Cao (VND) |
Hệ thống Implant cao cấp: Straumann - Bảo hành trọn đời | 35.000.000 / implant | |
Hệ thống Implant cao cấp: Nobel Biocare - Bảo hành trọn đời | 33.750.000 / implant | |
Hệ thống Implant cao cấp: Bio Horizons/Hahn - Bảo hành trọn đời | 31.500.000 / implant | |
Hệ thống Implant khác (Dentium / Megagen / MIS / Tekka) - Bảo hành 10 năm | 20.000..000.000 / implant | |
Zygoma Implant | (liên hệ trực tiếp) | |
Implant “All-on-4” hệ thống implant cao cấp & hàm tạm | 172.000..000.000 / hàm | |
Implant “All-on-6” hệ thống implant cao cấp & hàm tạm | 248.000..000.000 / hàm | |
Implant “All-on-4” hệ thống implant Hàn Quốc & hàm tạm | 118.000.000 / hàm |
Bài viết liên quan