Lần đầu tiên tại Việt Nam : giải pháp “ALL ON 4” với máng hướng dẫn phẫu thuật thế hệ mới thực hiện tại TT Nha Khoa Dr Hùng & Cộng sự .
Cô T.T.H, 55 tuổi, mất toàn bộ răng hàm dưới và phải đeo hàm giả tháo lắp hơn 10 năm nay. Tuy nhiên, hàm giả càng ngày càng không khít sát mặc dù đã được đệm hàm nhiều lần làm cô khó ăn nhai và cảm giác không thoải mái vì hàm giả không ổn định và kém thẩm mỹ.


Sau khi phân tích kỹ lưỡng trường hợp của bệnh nhân, chúng tôi quyết định phối hợp cùng các chuyên gia từ Mỹ thực hiện giải pháp “All on 4” với máng hướng dẫn phẫu thuật thế hệ mới. Đây là phương pháp tân tiến nhất và chưa từng có tại Việt Nam.
All on 4 là phương pháp chỉ cần đặt 4 trụ Implant trên 1 hàm mất răng toàn bộ sau đó làm hàm giả gắn chặt trên 4 Implant. Phương pháp này là giải pháp tối ưu cho những trường hợp bị mất xương nhiều ở vùng 2 bên răng hàm, không cần ghép xương và giúp tiết kiệm chi phí cho bệnh nhân.

Đội ngũ bác sỹ phẫu thuật, bác sỹ phục hình và kỹ thuật viên labo tại trung tâm nha khoa Dr.Hùng & Cộng sự đã làm việc trực tuyến cùng các chuyên gia tại Mỹ, thiết kế bộ máng hướng dẫn phẫu thuật gồm 3 máng, đảm bảo việc mài chỉnh xương, và cắm Implant được thực hiện nhanh chóng và chuẩn xác nhất. Ngay sau khi phẫu thuật, bệnh nhân được gắn phục hình tạm tức thì. Hiện tại, cô T.T.H cảm thấy hài lòng với hàm răng “giả như thật”, và đã hoàn toàn tự tin với nụ cười của mình.

Dưới đây là toàn bộ QUY TRÌNH THỰC HIỆN CA PHẪU THUẬT ALL ON 4 VỚI MÁNG HƯỚNG DẪN PHẪU THUẬT đã được thực hiện tại TTNK Dr Hùng & Cộng sự:
1/ Trước phẫu thuật
• Khám lâm sàng,
– Bệnh nhân: T.T. H , 55 tuổi.
– Tiền sử :
+ Hàm trên: Hàm tháo lắp khung bộ từng phần, đã mang được 5 năm.
+ Hàm dưới: Hàm tháo lắp toàn phần, đã mang được 5 năm.
(Đã từng mang hàm tháo lắp toàn bộ trên 10 năm)
– Chẩn đoán: Hàm tháo lắp toàn phần hàm dưới lỏng, không ổn định do sống hàm tiêu nhiều.
• Chụp phim CT bệnh nhân


Sau khi khảo sát lâm sàng và từ các dữ liệu trên phim CT Cone Beam của bệnh nhân, kế hoạch điều trị được đưa ra là “All on 4” với máng hướng dẫn phẫu thuật. (đặt 4 Implant vào các vị trí răng 32, 35, 42, 45 và gắn phục hình tạm tức thì trên Implant).
• Chụp CT và scan hàm giả bệnh nhân đang đeo có đánh dấu chất cản quang




• Dựa trên các dữ liệu của phim CT về xương hàm dưới, hàm giả đang mang & kết quả scan hàm giả từ máy Scanner tại Labo tại trung tâm, chúng tôi dùng phần mềm Nobel Clinician để lập kế hoạch điều trị chi tiết.

Tuy nhiên nhóm bác sỹ nhận thấy sống hàm vùng cằm tại các vị trí răng 32, 35, 42, 45 cần đặt Implant không bằng phẳng, nhỏ và nhọn.
Do đó nhóm BS quyết định phương án: gọt thấp xương hàm vùng cằm để gia tăng kích thước đường kính của các Implant và tạo thuận lợi cho phục hình sau này.
• Làm việc trực tuyến cùng các chuyên gia tại Mỹ, thống nhất kế hoạch điều trị và thiết kế máng hướng dẫn phẫu thuật.


Sau khi thảo luận, chúng tôi quyết định thiết kế bộ máng hướng dẫn phẫu thuật gồm 3 máng:
– Máng đầu tiên mô phỏng theo hàm răng giả của bệnh nhân đang đeo, cắn khớp với răng hàm trên, có tác dụng xác định các vị trí mài xương.
– Máng thứ hai dùng để kiểm tra chính xác bờ xương sau khi mài như đã hoạch định, đảm bảo bờ xương bằng phẳng và thuận lợi nhất cho việc cắm Implant.
– Máng thứ ba hướng dẫn các vị trí cắm Implant. Phục hình tạm được thiết kế nhờ công nghệ CAD/CAM để gắn cho bệnh nhân ngay sau khi cắm Implant.
• Chuyển kế hoạch điều trị và các dữ liệu cần thiết cho labo để sản xuất máng hướng dẫn phẫu thuật và phục hình tạm tức thì.
• Nhóm bác sỹ phẫu thuật tại trung tâm thảo luận lần cuối quy trình phẫu thuật. Nhóm làm việc gồm bác sĩ phẫu thuật đặt Implant, bác sĩ phục hình, bác sĩ gây mê hồi sức, kỹ thuật viên phục hình, phụ mổ…họp lại lần cuối để nắm vững quy trình làm việc & nhiệm vụ của từng cá nhân trước khi bước vào phòng phẫu thuật.
2/ Ngày phẫu thuật
• Chuẩn bị phòng mổ, chuẩn bị cho bệnh nhân. Bệnh nhân được kiểm tra sức khỏe toàn thân và tiến hành phẫu thuật đặt Implant dưới tiền mê và gây tê tại chỗ.
• Tiến hành phẫu thuật:
– Đặt máng hướng dẫn phẫu thuật thứ nhất để xác định 3 vị trí cố định máng hướng dẫn phẫu thuật và đánh dấu các vị trí để hạ thấp xương hàm dưới vùng cằm.

Hình ảnh: Máng hướng dẫn phẫu thuật thứ nhất

–Hạ thấp xương theo ba vị trí đã đánh dấu. Đặt máng hướng dẫn phẫu thuật thứ 2 với các pin cố định để kiểm tra bờ xương sau khi được hạ thấp theo kế hoạch điều trị.

Máng hướng dẫn phẫu thuật thứ hai: Kiểm tra chính xác bờ xương đã được hạ thấp
– Đặt máng hướng dẫn phẫu thuật thứ 3 để đặt implant theo kế hoạch điều trị. 4 implant được đặt dễ dàng và chính xác vào đúng các vị trí


Máng hướng dẫn phẫu thuật thứ ba: Đặt Implant


Phục hình tạm cố định được đặt tức thì sau phẫu thuật
3/ Sau phẫu thuật
• Kết quả:
– Thời gian phẫu thuật : 01h 45 phút
– Phẫu thuật xâm lấn tối thiểu
– Các bước phẫu thuật đã được tiến hành đúng kế hoạch
– Phục hình tạm cố định đã được thực hiện trước với kỹ thuật CAD/CAM được đặt nhanh chóng, chính xác ngay sau phẫu thuật
– Bệnh nhân khỏe mạnh , vui vẻ sau phẫu thuật và có răng liền ngay sau phẫu thuật
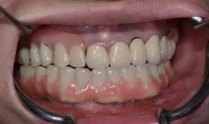
– Kết quả điều trị hoàn hảo và làm hài lòng bệnh nhân và thầy thuốc.
• Bệnh nhân được hẹn đến tái khám định kì, kiểm tra mức độ lành thương. Sự lành thương của bệnh nhân diễn ra rất tốt. Sau 10 ngày, vết mổ đã lành tốt và được cắt chỉ. Hàm tạm tức thì có chức năng ăn nhai tốt và thẩm mỹ.
4/ Phục hình vĩnh viễn
Sau 5 tháng, bệnh nhân được hẹn tái khám, kiểm tra trên miệng và chụp phim CT.
Kết quả: Implant tích hợp xương tốt, đủ vững ổn để làm phục hình vĩnh viễn.
Quy trình làm phục hình vĩnh viễn:
– Lấy dấu bằng cao su để xác định vị trí các implant trên cung hàm. Dấu được chuyển xuống labo để đổ mẫu thạch cao và lên giá khớp (mô phỏng vị trí của 2 hàm trong không gian).

– Lấy dấu khớp cắn dựa theo hàm tạm đã có sẵn của bệnh nhân do phục hình tạm đã có chiều cao phù hợp và khớp cắn ổn định. Chiều cao phục hình phù hợp với chiều cao tầng mặt dưới để đảm bảo tính thẩm mỹ và độ thư giãn các cơ mặt.

– Từ dấu implant và dấu khớp cắn, labo thiết kế khung kim loại để mang phục hình tương lai. Khung được chuyển lên lâm sàng để bác sĩ tiến hành thử khung trong miệng bệnh nhân. Khung phải vững chắc và thăng bằng trên 4 implant. Bệnh nhân được chụp phim toàn cảnh panorama để kiểm tra.

– Khi khung kim loại đã đạt yêu cầu. Kỹ thuật viên labo sẽ thiết kế hàm mẫu làm từ răng nhựa và sáp trên khung. Hàm mẫu sẽ cho bệnh nhân có cái nhìn khái quát về hình dạng, màu sắc răng, khớp cắn, sự thay đổi của khuôn mặt. Nếu bệnh nhân hài lòng và đồng ý, phục hình cuối cùng sẽ được thiết kế theo hàm mẫu.

– Giao hàm: Hàm cố định vĩnh viễn trên implant được gắn cho bệnh nhân sau 1 ngày. Phục hình làm từ chất liệu sứ trên khung kim loại được gắn vít vào 4 implant ở trong xương vừa đảm bảo tính vững ổn để thực hiện chức năng vừa đạt được độ thẩm mỹ như răng thật.

Quy trình làm phục hình vĩnh viễn trên implant tại nha khoa Dr Hùng và cộng sự luôn được thực hiện theo từng quy trình chuẩn hóa quốc tế và luôn có sự phối hợp chặt chẽ giữa kỹ thuật viên labo và bác sỹ phục hình. Nhờ đó, phục hình đạt chất lượng cao và mang lại sự hài lòng cho bệnh nhân.
Kết luận
– Ứng dụng công nghệ CAD/CAM giúp cho việc điều trị nhanh chóng, dễ dàng, chính xác và ít xâm lấn.
– Thực hiện quan niệm phục hình hướng dẫn phẫu thuật đặt Implant đảm bảo tính thẩm mỹ và chức năng của phục hình.

Tại Trung tâm nha khoa Dr.Hùng và Cộng sự, với mô hình làm việc “team work”, có sự phối hợp chặt chẽ giữa các bác sĩ phẫu thuật, bác sĩ phục hình, các kỹ thuật viên chuyên nghiệp tại “Lab in house”, cùng với sự hợp tác quốc tế, chúng tôi tự hào có thể mang đến cho khách hàng hàng của mình những điều trị tốt nhất của ngành nha khoa hiện đại của thế giới ngày nay.
English