Răng khôn là gì? Tại sao nên nhổ răng khôn?
Răng khôn là răng cối lớn thứ 3 nằm ngày sau răng cối thứ 2, là răng mọc sau cùng và nằm sâu trong miệng. Răng khôn bắt đầu hình thành trong xương hàm từ năm 10 tuổi và từ 17 – 25 là độ tuổi răng khôn bắt đầu mọc. Do răng hoàn thiện và mọc ở tuổi trưởng thành nên dân gian gọi là Răng khôn – Wisdom tooth.
Bên cạnh đó, có những trường hợp răng khôn mọc muộn hơn sau 30 tuổi, và cũng có những trường hợp hoàn toàn không có mầm răng khôn. Những trường hợp này cũng không phải là hiếm gặp và thường do di truyền quyết định.
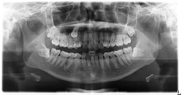
![]() Phim panorex được chụp tại TT Nha Khoa DrHùng & CS (Nam 23 tuổi – cần nhổ 4 răng khôn) |
Chú thích hình: A – B. Răng khôn mọc lệch xa C. Răng khôn lệch gần D. Răng khôn mọc ngầm |
Khi nào nên nhổ răng khôn ?
Trường hợp có đủ chỗ mọc, răng khôn sẽ mọc thẳng đúng vị trí và không gây vấn đề gì. Thông thường, khi răng mọc bạn sẽ cảm thấy hơi đau (hoặc có thể sốt nhẹ) nhưng đây chỉ là cảm giác tạm thời, tình trạng này sẽ biến mất khi răng đã mọc hoàn toàn và đúng vị trí.
Ngược lại, khi không có đủ chỗ mọc, răng khôn sẽ mọc lệch hay răng mọc ngầm hoặc mọc kẹt gây đau đớn, gây khó chịu và ảnh hưởng xấu đến những răng lân cận. Vì mọc ở vị trí rất khó làm sạch lại hay gây nhồi nhét thức ăn, răng khôn sẽ là nơi trú ngụ và sinh sôi của các loại vi khuẩn gây viêm nướu, hôi miệng, không những răng khôn mà răng cối thứ 2 kế cận cũng sẽ bị sâu. Khi đó, việc nhổ bỏ răng khôn mọc lệch là điều cần thiết.
Nếu bạn đang có kế hoạch về việc nhổ chúng, bạn nên thực hiện ngay từ khi còn trẻ vì từ sau 35 tuổi, nhổ răng khôn mọc lệch, ngầm được cho là khó hơn và cần nhiều thời gian để phục hồi.
Nhổ răng khôn có khó không ?
Độ khó của một case nhổ răng khôn phụ thuộc vào hướng mọc, hình dạng và số lượng chân răng khôn. Răng khôn mọc lệch 90 độ, răng nhiều chân, các chân mọc phân kỳ hay răng mọc sát dây thần kinh hàm dưới đều là những yếu tố gây khó nhổ cũng như làm tăng các biến chứng sau nhổ như sưng, đau, mất cảm giác môi cằm tạm thời…
Nhìn chung, nhổ răng khôn mọc lệch, răng mọc ngầm là thủ thuật khó, có độ xâm lấn lớn, đòi hỏi các bác sĩ có nhiều kinh nghiệm và tay nghề cao, do đó bạn nên tìm đến các trung tâm nha khoa uy tín với đầy đủ phương tiện để được chăm sóc và điều trị.
Hiện nay, Kubet Worldwide đã đưa vào sử dụng máy Piezotome với kỹ thuật nhổ răng không sang chấn có độ xâm lấn tối thiểu, cùng với kỹ thuật chẩn đoán hình ảnh bằng hệ thống toàn cảnh Orthophos XG, máy CT Conbeam 3D , việc nhổ răng khôn đối với bạn sẽ trở nên nhẹ nhàng, đơn giản và giảm thiểu tối đa các biến chứng sau nhổ.
Nhổ răng khôn bao nhiêu tiền??

Tình trạng răng: 2 răng khôn hàm dưới mọc ngầm và lệch gần, làm tổn thương răng kế cận. Răng nanh hàm trên bên phải mọc ngầm và lệch chỗ. Các răng mọc ngầm cần được tiểu phẫu để ngăn ngừa biến chứng và ngăn ngừa gây sâu răng kế cận.
Khi nào nên nhổ răng khôn? Nhổ răng có nguy hiểm không?
Răng khôn có tác dụng gì? Khi nào nên nhổ răng khôn? Nhổ răng khôn có đau không?… có khá nhiều câu hỏi được đặt ra xoay quanh chủ đề nhổ răng khôn, do đó có thể thấy có rất nhiều khách hàng quan tâm đến vấn đề này, chính vì lý do đó, hãy cùng với Kubet - Ku Casino tìm hiểu về chủ đề trong bài viết dưới đây nhé!
Răng khôn có tác dụng gì?
Răng khôn là tên gọi của những chiếc răng mọc cuối cùng trên cung hàm, chiếc răng này còn được gọi là răng số 8.

Răng khôn thường xuất hiện khi chúng ta đã có hàm răng ổn định, khi chúng ta ở độ tuổi 18 trở lên. Vậy răng khôn có tác dụng gì?
Do xuất hiện muộn, khi xương hàm đã không còn đủ vị trí nên răng khôn thường mọc chen chúc, ảnh hưởng đến các răng hàm kế bên, đối với hầu hết các trường hợp, răng khôn không có tác dụng về thẩm mỹ cũng như không thực hiện chức năng nhai.
Khi nào nên nhổ răng khôn?
Răng khôn thường mọc ở vị trí không mấy thuận lợi, khi xương hàm đã hết chỗ, ngoài ra chiếc răng mọc ngầm này thường mọc khá sâu trong xương hàm, dẫn đến việc khó vệ sinh, tạo điều kiện cho vi khuẩn phát triển, gây ra nhiều bệnh lý răng miệng nguy hiểm như: viêm nướu, sâu răng, viêm tủy răng,…
Vậy khi nào nên nhổ răng khôn? Bạn nên nhổ răng khôn càng sớm càng tốt nếu răng khôn mọc và gây ra các tình trạng dưới đây:
- Răng khôn gây ra các biến chứng như: sưng đau kéo dài, tạo ổ nhiễm trùng lặp đi lặp lại, gây u nang, ảnh hưởng đến các răng xung quanh.
- Răng khôn mọc không khít với răng kế bên, tạo khe giắt thức ăn, khiến vi khuẩn sâu răng dễ phát triển.
- Răng khôn mọc lệch, không đủ chỗ để nhú lên, không có răng đối diện ăn khớp, khiến răng khôn trồi dài, gây nhồi nhét thức ăn, lở loét phần nướu đối diện,…
- Răng khôn gây ra bệnh nha chu, sâu răng,…
Nhổ răng khôn hàm dưới có đau không?
Nhổ răng khôn hàm dưới có đau không? Khi nào nên nhổ răng khôn hàm dưới? Nhổ răng khôn hàm dưới có nguy hiểm không?…Đây là những câu hỏi được rất nhiều người đặt ra, do đó hãy cùng tìm hiểu câu trả lời ngay sau đây:
Nhổ răng khôn hàm dưới có đau không?
Với sự hỗ trợ của công nghệ hiện đại, quá trình làm đứt dây chằng quanh chân răng trở nên dễ dàng hơn, dưới tác dụng của sóng siêu âm, răng khôn hàm dưới được nhổ bỏ một cách thuận tiện, nhanh chóng, tổn thương tại vị trí nhổ răng khôn cũng có điều kiện phục hồi nhanh hơn, do đó hạn chế cảm giác đau nhức, giảm sưng, đau.
Khi nào nên nhổ răng khôn hàm dưới?
Bạn nên nhổ răng khôn hàm dưới khi chiếc răng này mọc và xuất hiện một trong các tình trạng được nêu ở phần trên của bài viết.
Nhổ răng khôn hàm dưới có nguy hiểm không?
Nhổ răng khôn hàm dưới được xếp vào tiểu phẫu, sau khi nhổ bỏ, hàm răng của bạn không bị ảnh hưởng, tuy nhiên trong trường hợp răng khôn mọc lệch, mọc ngầm, quá trình điều trị sẽ phức tạp hơn.

Nếu quy trình nhổ răng khôn hàm dưới không đảm bảo điều kiện vô trùng, thực hiện không đúng kỹ thuật, đụng chạm đến hệ thống thần kinh trong chân răng, bệnh nhân có thể gặp một vài biến chứng như: đau đầu, đau họng, nhức hàm, khó thở, do đó việc lựa chọn cơ sở nha khoa uy tín để nhổ răng khôn là điều hết sức quan trọng.
Nhổ răng khôn hàm trên có nguy hiểm không?
Hầu hết các trường hợp răng khôn mọc lệch, mọc ngầm đều được bác sĩ đề xuất nhổ bỏ để giảm thiểu các biến chứng có thể xảy ra.
Trong trường hợp răng khôn mọc đúng vị trí, quy trình nhổ răng khôn hàm trên diễn ra khá nhanh chóng, ngược lại, nếu răng khôn mọc ngầm chèn ép các dây thần kinh, quy trình nhổ răng khôn có thể gây ra một vài biến chứng nguy hiểm cho sức khỏe.
Các phương pháp nhổ răng khôn hiện nay
Dưới đây là 2 phương pháp nhổ răng khôn phổ biến hiện nay:
1. Phương pháp nhổ răng khôn truyền thống
Đây là phương pháp nhổ răng khôn sử dụng kìm và lực bẩy để loại bỏ răng khôn với ưu điểm và nhược điểm cụ thể như sau:
- Ưu điểm: Tiết kiệm chi phí
- Nhược điểm: Dễ gây ra các sang chấn như: chảy máu kéo dài, sưng, đau,…
2. Phương pháp nhổ răng khôn hiện đại
Nhổ răng khôn theo phương pháp hiện đại sử dụng công nghệ sóng siêu âm cao tần, tạo rung động liên tục, làm đứt dây chằng xung quanh răng một cách nhanh chóng, hạn chế tối đa tổn thương và sang chấn.
Nhổ răng khôn có đau không?
Trước khi nhổ răng khôn, bạn sẽ được tiêm thuốc tê tại vùng cần nhổ răng, do đó quy trình nhổ răng hầu như không gây ra cảm giác đau nhức, sau khi hết thuốc tê, cảm giác đau sẽ xuất hiện và kéo dài từ 2 – 3 ngày.
Có nên nhổ răng khôn hay không?
Trong các trường hợp răng khôn mọc lệch, răng khôn mọc ngầm, gây ảnh hưởng đến các răng xung quanh hoặc có khả năng gây ra các bệnh lý răng miệng sau này, bệnh nhân cần nhổ răng không càng sớm càng tốt.

Với răng khôn mọc thẳng, bạn có thể tham khảo ý kiến của nha sĩ để đưa ra quyết định có nên nhổ răng khôn hay không.
Nhổ răng khôn bao nhiêu tiền?
Chi phí nhổ răng khôn hiện nay dao động từ 2.000.000 – 6.000.000VNĐ, tùy vào vị trí nhổ răng khôn cũng như phương pháp được áp dụng.
>>> Chi tiết: Nhổ răng khôn bao nhiêu tiền? Nhổ răng khôn không đau ở đâu?
Trên đây là giải đáp cho những câu hỏi liên quan đến dịch vụ nhổ răng khôn, nếu có bất kỳ thắc mắc nào liên quan đến chủ đề này, bạn có thể liên hệ trực tiếp đến Kubet - Ku Casino để được hỗ trợ.
5 Điều nhất định nên biết khi quyết định nhổ răng khôn
- Mỗi người có bao nhiêu răng khôn?
- Vì sao răng khôn thường mọc lệch?
- Nhổ răng khôn không đau tại Kubet Worldwide
- 5 lợi ích khi nhổ răng khôn sớm tại Kubet Worldwide
- Điều trị răng khôn an toàn bằng phương pháp & kỹ thuật mới trong thời dịch