SỞ Y TẾ THÀNH PHỐ HỒ CHÍ MINH
Kubet PTTM- RHM WORLDWIDE

|
Mục lục
ẩn
SÂU RĂNGTRẺ EM |
Địa chỉ: 244A Cống Quỳnh, Phường Phạm Ngũ Lão, Quận 1, Tp. Hồ Chí Minh
Điện thoại: ( –
Website:
Tại sao cần phải bảo vệ răng sữa khỏi sâu răng?
Vì răng sữa cũng đóng vai trò quan trọng trong quá trình phát triển của trẻ em:
- Giúp trẻ ăn ngon, tăng cường dinh dưỡng
- Hỗ trợ và phát triển khả năng phát âm
- Tạo điều kiện cho răng vĩnh viễn mọc đúng vị trí
- Tạo nền tảng cho răng miệng khỏe mạnh suốt cuộc đời
- Giúp trẻ tự tin trong giao tiếp
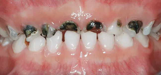
Hậu quả sâu răng sữa
- Đau răng làm trẻ chán ăn, suy dinh dưỡng
- Sâu răng không điều trị: viêm tủy, áp xe
- Nhiễm trùng trầm trọng:nhổ răng sữa sớm dẫn tới những hậu quả làm ảnh hưởng chức năng nhai, nói, tới việc mọc răng vĩnh viễn và thẩm mỹ khuôn mặt.

Làm cách nào bố mẹ phát hiện sớm bé bị sâu răng?
- Giai đoạn sớm: những đốm trắng đục hay nâu trên mặt nhai hoặc giữa kẽ hai răng
- Giai đoạn giữa: răng bị bể vỡ, tạo lỗ rõ rệt trên bề mặt răng
- Giai đoạn muộn: Lỗ đau chạm tủy, gây đau nhức, khó chịu cho trẻ. Bé biếng ăn, quấy khóc


Làm thế nào để phòng ngừa sâu răng sữa?
- Chải răng và chăm sóc răng miệng đúng cách
- Bỏ các thói quen xấu ảnh hưởng sức khỏe răng miệng:Bú đêm, ăn nhiều đồ ngọt,..
- Dắt bé đến nha sĩ khám răng miệng định kì mỗi 3-6 tháng
HÌNH ẢNH NHA KHOA THÂN THIỆN
Kubet WORLDWIDE

English